CHIRURGIE ORTHOPÉDIQUE et TRAUMATOLOGIQUE - MONTPELLIER
CHIRURGIE OSSEUSE ET ARTICULAIRE - CHIRURGIE PROTHÉTIQUE - CHIRURGIE ARTHROSCOPIQUE - CHIRURGIE DU SPORT
Instabilité de l'épaule — Luxation gléno-humérale
Luxation de l'épaule, instabilité récidivante, appréhension lors du sport ? Le Dr Roussanne et le Dr Geiss vous expliquent les mécanismes, les lésions et les solutions chirurgicales.
Pourquoi l'épaule se luxe-t-elle ?
L'épaule est l'articulation la plus mobile du corps — et la plus instable. Imaginez un pamplemousse posé sur une soucoupe à café : c'est à peu près la proportion entre la tête de l'humérus et la glène de l'omoplate.
Ce qui maintient l'épaule en place, c'est un système de stabilisateurs :
- Le labrum (bourrelet glénoïdien) — fibrocartilage qui approfondit la glène et s'oppose au déplacement de la tête humérale
- La capsule et les ligaments — l'enveloppe de l'articulation, qui peut se distendre de façon irréversible
- Les muscles de la coiffe — les stabilisateurs actifs de l'épaule
Quand ce système est débordé par un traumatisme, l'épaule se luxe.
Quelles lésions provoque une luxation ?
Chaque luxation peut abîmer plusieurs structures simultanément. C'est pourquoi un bilan précis est indispensable avant toute décision chirurgicale — certaines lésions cicatrisent, d'autres non.
Les lésions ligamentaires
La tête humérale déchire les ligaments gléno-huméraux et la capsule. Chez les patients jeunes, ces tissus ont une certaine capacité de cicatrisation. Chez les patients plus âgés ou en cas de récidives, la distension devient irréversible.
La lésion de Bankart
Le labrum se détache de la surface osseuse glénoïdienne. C'est la lésion la plus fréquente. Elle peut cicatriser spontanément — surtout après un premier épisode chez un patient jeune bien immobilisé. En cas de récidive, cette cicatrisation devient improbable.
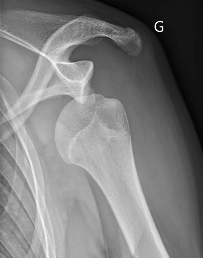
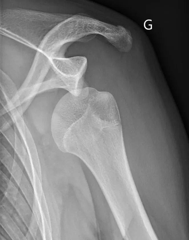
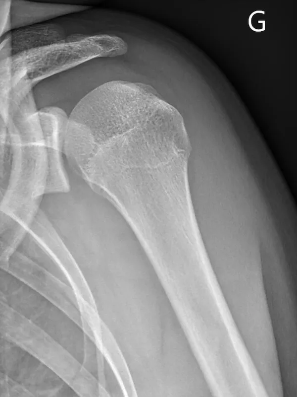
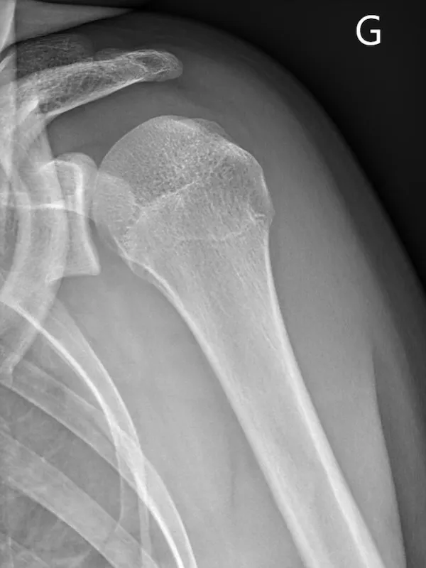
Les lésions osseuses
- Fracture du rebord glénoïdien — la tête humérale heurte violemment la glène et en arrache un fragment. Quand cette perte osseuse est importante, les techniques arthroscopiques seules ne suffisent plus.
- Encoche de Hill-Sachs — la tête humérale s'écrase contre la glène comme une balle de ping-pong qu'on écraserait avec le doigt. Cette déformation est irréversible.
Les lésions tendineuses
Certaines luxations, surtout après 40 ans, peuvent léser les tendons de la coiffe des rotateurs. Un examen clinique spécialisé est indispensable pour les rechercher.
Les lésions neurologiques
L'étirement du plexus brachial — et surtout du nerf axillaire — peut survenir lors de la luxation. Ces lésions sont en général résolutives en quelques semaines à quelques mois, mais peuvent parfois laisser des séquelles.
Les différentes formes d'instabilité de l'épaule
La luxation aiguë
Douleur brutale, bras bloqué — c'est une urgence. La tête humérale est remise en place (réduite) sous antalgiques ou courte anesthésie générale. L'épaule est ensuite immobilisée dans une attelle spécifique pendant 2 à 6 semaines selon l'âge. La chirurgie en urgence est rarement indiquée.
L'instabilité chronique
C'est la récidive des épisodes de luxation ou de subluxation. Le patient n'a plus confiance en son épaule, évite certains gestes, ressent une appréhension permanente lors du sport ou des activités du quotidien. À partir de la deuxième récidive, le traitement médical seul est le plus souvent voué à l'échec.
L'épaule douloureuse instable (EDI)
Forme plus discrète : douleurs chroniques, sensation d'endormissement des doigts ou de la main, sans luxation franche. La mobilité est souvent normale. Cette forme est fréquente chez les patients présentant une hyperlaxité constitutionnelle.
Les différentes directions de l'instabilité
- Antérieure — 9 cas sur 10. L'épaule part vers l'avant et vers le bas. C'est la forme classique.
- Postérieure — 5 à 10% des cas. Plus rare, souvent méconnue, elle survient lors d'un choc direct sur l'épaule en avant ou d'un effort violent en rotation interne.

.webp)

Quels sont les sports à risque ?
Les sports à risque de luxation et d'instabilité sont les sports d'armé-contré et les sports de contact : rugby, handball, judo, arts martiaux, football américain, hockey, volleyball, tennis, water-polo, escalade, surf…

Quels examens complémentaires réaliser ?
- Radiographies — bilan de débrouillage, recherche de lésions osseuses associées
- Arthroscanner — examen de référence : quantifie précisément la perte osseuse glénoïdienne, évalue le labrum, la capsule et la coiffe
- IRM — en complément si lésion tendineuse associée suspectée
Les traitements de l'instabilité de l'épaule
Le traitement médical
C'est le traitement de première intention lors d'un premier épisode de luxation traumatique. Il consiste à réduire la luxation et à immobiliser l'épaule dans une attelle spécifique. La durée de l'immobilisation dépend de l'âge du patient.
La rééducation visant à muscler l'épaule peut, dans certains cas, être suffisante pour obtenir une épaule stable dans la vie quotidienne ou pour la pratique de certains sports — surtout s'il n'y a eu qu'un seul épisode de luxation.
La chirurgie de l'instabilité antérieure
La butée coracoïdienne (Latarjet) — Mini-open avec fixation par endobuttons
Pour qui ? Perte osseuse glénoïdienne, récidives multiples, sport de contact ou d'armé-contré, score ISIS > 3.
Comment ? Un fragment osseux — la coracoïde — est détaché et transféré sur le bord antérieur de la glène par une incision mini-invasive (mini-open) de quelques centimètres. La fixation est assurée par un système d'endobuttons reliés par des fils à haute résistance, sans vis métallique.
Cette technique offre un triple effet stabilisateur : osseux (comblement de la perte osseuse glénoïdienne), ligamentaire (le ligament coraco-huméral retend le plan antérieur) et musculaire (le muscle conjoint s'oppose activement au déplacement antérieur de la tête humérale).
La fixation par endobuttons présente des avantages par rapport aux vis : pas de matériel rigide saillant, contraintes mécaniques mieux réparties sur la greffe, et pas de risque de fracture de vis.
Résultat : taux de récidive inférieur à 5%. Reprise sport de contact à 6 mois après consolidation radiologique confirmée.
Dans certains cas on peut être amené à proposer une fixation de la butée par une technique classique avec des vis. Cette chirurgie peut être également réalisée sous arthroscopie.
Réparation de Bankart — sous arthroscopie
Pour qui ? Instabilité antérieure sans perte osseuse glénoïdienne significative (score ISIS ≤ 3).
Comment ? L'intervention est réalisée entièrement sous arthroscopie (vidéochirurgie), par 2 à 3 incisions de quelques millimètres seulement. Le labrum arraché est réinséré sur la glène à l'aide d'ancres résorbables sur lesquelles sont fixés des fils très résistants. Les ligaments gléno-huméraux distendus sont retendus dans le même temps opératoire.
Résultat : taux de succès élevé dans les indications bien posées. Reprise sport sans contact vers 4 mois. Non indiqué en première intention pour les sports de contact ou d'armé-contré.


Le remplissage de l'encoche postérieure (Hill-Sachs remplissage)
Pour qui ? En complément du Bankart, quand l'encoche humérale postérieure est engageante.
Comment ? L'encoche est comblée en plicaturant la coiffe des rotateurs dans le défect osseux à l'aide d'ancres miniaturisées. Cette technique arthroscopique évite dans certains cas de recourir à une butée.
La chirurgie de l'instabilité postérieure
La butée iliaque postérieure
Pour traiter l'instabilité postérieure on peut être amené à prélever un greffon osseux sur la crête iliaque du patient afin de le positionner à la partie postérieure de la glène. Cette chirurgie peut être réalisée sous arthroscopie et elle est en général associée à une réparation de la capsule et des ligaments (Bankart postérieur).
Le Bankart postérieur
La réinsertion du bourrelet glénoïdien (technique de Bankart) est réalisée aujourd'hui sous arthroscopie (vidéochirurgie) en faisant 2 ou 3 petites incisions de quelques millimètres. L'objectif est de retendre les ligaments distendus de l'épaule et de refixer le bourrelet glénoïdien à l'aide d'ancres (le plus souvent résorbables) sur lesquelles sont fixés des fils très résistants.
Déroulement de la chirurgie
- Anesthésie : locorégionale associée à une anesthésie générale dans près de 90% des cas. Le bloc nerveux prolonge l'analgésie pendant environ 20 heures après l'intervention
- Position : semi-assise (position « transat »)
- Durée : 30 à 90 minutes selon les gestes réalisés
- Contrôle : radiographie en salle de réveil avant remontée en chambre
- Hospitalisation : ambulatoire dans la majorité des cas — retour à domicile le jour même. Une nuit d'hospitalisation reste possible sur demande
Les suites opératoires
Le patient est immobilisé par une attelle coude au corps pendant 3 semaines en moyenne. Dans certains cas l'immobilisation peut être plus longue.
La douleur sera calmée par des antalgiques adaptés en comprimés. Le lendemain de l'intervention le pansement est refait par l'infirmière. Il sera ensuite refait tous les 3 jours pendant 15 jours. Les stéristrips seront enlevés à 15 jours.
Vous serez également incité à sortir le bras de l'attelle en position allongée ou assise afin de mobiliser le coude, le poignet et les doigts. Vous serez autorisé à utiliser la main pour la lecture, pour manger ou vous habiller.
Vous verrez le chirurgien ou le médecin rééducateur au 21ème jour qui examinera votre épaule, vous donnera des conseils et vous prescrira la rééducation. Habituellement la rééducation est effectuée en ville chez votre kinésithérapeute habituel qui suivra les recommandations précises de votre chirurgien. Il vous enseignera également quelques exercices supplémentaires que vous effectuerez à la maison seul.
La rééducation
- Avant l'intervention : une séance préopératoire avec le kinésithérapeute optimise les résultats
- J0 : exercices d'auto-rééducation enseignés dès la sortie de la clinique
- J21 : consultation avec le chirurgien ou le médecin rééducateur, prescription de kinésithérapie
- J21 → 4 à 6 mois : rééducation en cabinet, 2 à 3 séances par semaine + exercices quotidiens à domicile
Quelques précisions utiles avant votre intervention
Durant la toilette il est conseillé de ne pas mouiller le pansement, mais vous pouvez vous laver juste avant que l'infirmière ne refasse le pansement. Il faut impérativement éviter les pansements occlusifs (Tegaderm, etc.) qui favorisent la transpiration et la macération. Cela augmenterait le risque d'infection locale.
La reprise de la conduite se fait entre 2 et 3 mois en moyenne. Votre chirurgien et votre kinésithérapeute vous conseilleront. Ils vous diront quand vous serez capable de conduire sans danger.
La reprise du travail dépend du type de profession. Pour les travailleurs de force et manuels le délai est en moyenne de 4 à 6 mois. Pour les autres professions, le travail peut être repris plus tôt (entre 2 et 3 mois). Dans certains cas un changement de poste travail, une adaptation du poste ou une reconversion professionnelle seront à envisager.
La reprise du sport dépend du type de sport : la natation est autorisée précocement (45 jours) et peut faire partie de votre auto-rééducation (nager la brasse). La course à pied est également autorisée avant 2 mois. Les sports à risque peuvent être repris progressivement à partir de 6 mois.
Quels sont les risques de la chirurgie ?
En dehors des risques liés à l'anesthésie, il existe quelques risques spécifiques :
- Récidive de luxation — inférieure à 5% après butée coracoïdienne
- Infection — rare mais grave : reprise chirurgicale et antibiothérapie de 3 mois
- Non-consolidation ou lyse de la butée — la greffe peut ne pas consolider ou se résorber
- Problème de matériel — vis pouvant s'arracher ou se casser, migration exceptionnelle d'une ancre (Bankart)
- Algodystrophie — complication possible après toute chirurgie de l'épaule, allonge les délais de récupération
- Lésion neurologique — rare, en général transitoire
- Arthrose — souvent plus liée au nombre d'épisodes d'instabilité avant chirurgie qu'à la technique chirurgicale en elle-même
Prenez rendez-vous avec le Dr Roussanne ou le Dr Geiss pour un bilan personnalisé.
Chicken-Ed 2012-2026 tous droits réservés



