CHIRURGIE ORTHOPÉDIQUE et TRAUMATOLOGIQUE - MONTPELLIER
CHIRURGIE OSSEUSE ET ARTICULAIRE - CHIRURGIE PROTHÉTIQUE - CHIRURGIE ARTHROSCOPIQUE - CHIRURGIE DU SPORT
Les fractures de l'épaule
Le Dr Yannick Roussanne et le Dr Laurent Geiss, chirurgiens orthopédistes spécialisés en traumatologie de l'épaule à la Polyclinique Saint-Roch de Montpellier, vous présentent les différents types de fractures de l'épaule et leurs traitements.
Anatomie et physiopathologie
L'épaule est une articulation complexe dont la mobilité repose sur un équilibre subtil entre les os, les tendons de la coiffe des rotateurs, la bourse sous-acromiale et l'auvent acromial. Comprendre cette anatomie est essentiel pour appréhender les mécanismes des fractures de l'épaule.
Découvrir l'anatomie de l'épaule →Fractures de l'extrémité supérieure de l'humérus
Les fractures de l'extrémité supérieure de l'humérus représentent 6 % des fractures du corps humain. Il s'agit donc de fractures relativement fréquentes mais qui n'ont pas toutes le même pronostic.
On distingue :
- Les fractures extra-articulaires : fracture du col chirurgical de l'humérus, fractures diaphysaires
- Les fractures articulaires simples : fracture du trochiter, fracture du trochin
- Les fractures articulaires complexes : fractures céphalo-tubérositaires
- Les fractures-luxations : simples ou complexes, associant aux lésions osseuses des lésions capsulo-ligamentaires
Examens complémentaires
Dans un premier temps, des radiographies permettent d'avoir une orientation diagnostique en corrélation avec l'examen clinique du chirurgien. Ce bilan de débrouillage sera complété si nécessaire par un scanner.
Les traitements
Le traitement orthopédique (non chirurgical)
Les fractures simples et peu déplacées peuvent être traitées orthopédiquement, c'est-à-dire par une immobilisation dans une attelle coude au corps. La durée d'immobilisation est de 4 à 6 semaines.
Le traitement chirurgical
Le traitement chirurgical sera adapté au type de fracture mais aussi au patient (âge, lésions préexistantes, état général et demande fonctionnelle).
La mise en place d'une prothèse de l'épaule est indiquée si la fracture n'est pas synthésable, c'est-à-dire si les fragments osseux ne peuvent pas être remis en place. Cette prothèse permet de reconstituer l'extrémité supérieure de l'humérus et de redonner la fonction de l'épaule par l'intermédiaire des muscles intacts.
Le plus souvent une prothèse inversée est indiquée lorsqu'il existe des lésions associées des tendons de la coiffe des rotateurs ou lorsque la qualité osseuse des tubérosités est médiocre. C'est souvent le cas lors des fractures survenant chez des personnes âgées.
Une prothèse anatomique est indiquée dans certains cas lorsque les tendons de la coiffe des rotateurs sont fonctionnels et réparables (réparation des tubérosités) mais qu'il existe un risque de nécrose de la tête humérale important.
L'intervention est le plus souvent réalisée sous anesthésie loco-régionale. L'immobilisation post-opératoire est réalisée dans une attelle coude au corps. La rééducation est débutée de façon immédiate en centre de rééducation puis poursuivie en ville chez un kinésithérapeute. La durée de récupération est longue et parfois incomplète.
Risques
Votre chirurgien vous expliquera les risques spécifiques lors de la consultation. Des documents vous seront fournis détaillant les risques liés à la chirurgie et à l'anesthésie.
Suites opératoires
Hospitalisation de 24 heures en moyenne (1 à 3 jours). Pansement refait le lendemain puis tous les 3 jours pendant 15 jours. Douleur calmée par antalgiques adaptés.
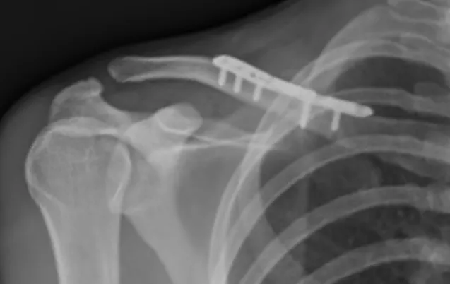
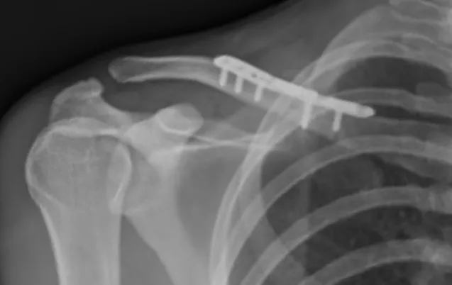
Fractures de la clavicule
Les fractures de la clavicule sont des fractures très fréquentes du membre supérieur. Elles sont le plus souvent liées à des traumatismes sportifs ou à haute énergie. En fonction de la localisation du trait de fracture et du nombre de fragments, elles n'ont pas toutes le même pronostic et nécessitent donc un traitement adapté.
Examens complémentaires
Dans un premier temps, des radiographies permettent d'avoir une orientation diagnostique. Ce bilan sera complété si nécessaire par un scanner.
Le traitement orthopédique (non chirurgical)
Les fractures simples et peu déplacées (et/ou lorsqu'il existe des contre-indications opératoires) peuvent être traitées orthopédiquement par une immobilisation avec des anneaux claviculaires. La durée d'immobilisation est de 4 à 6 semaines.
Les anneaux claviculaires doivent être repositionnés deux fois par jour au moins pour être efficaces (votre chirurgien vous apprendra à les positionner avec l'aide d'une personne de votre entourage). Ils peuvent être retirés pour la toilette et la douche. Le reste du temps, ils doivent être portés de façon continue (jour et nuit).
La durée de consolidation habituelle est de 3 mois. Il existe un risque non négligeable de fracture itérative pendant cette période. La reprise du sport est déconseillée durant ces 3 mois.
Le traitement chirurgical
Il consiste en la réalisation d'une ostéosynthèse (repositionnement et fixation des fragments osseux), le plus souvent par une plaque vissée. L'intervention est réalisée sous anesthésie générale, parfois associée à une anesthésie loco-régionale. Un contrôle radiographique per-opératoire permet au chirurgien d'avoir un contrôle parfait du positionnement du matériel.
Après l'intervention, le bras est immobilisé dans une attelle coude au corps pendant 4 à 6 semaines. La rééducation débute après 4 semaines chez un kinésithérapeute de ville.
Risques
- Raideur résiduelle : rare quelle que soit la technique
- Non-consolidation : faible mais peut nécessiter une seconde intervention
- Infection : faible mais toujours présent
- Algodystrophie : complication imprévisible entraînant raideur et douleurs (6 à 18 mois)
- Retrait de matériel : possible au bout d'un an. Risque de fracture itérative après retrait.
En cas de traitement non chirurgical :
- Cal osseux visible : le plus souvent bien toléré esthétiquement. Raccourcissement possible du moignon de l'épaule.
- Non-consolidation : risque non négligeable selon le type de fracture et la qualité de l'immobilisation
- Algodystrophie : même risque que pour le traitement chirurgical
Suites opératoires et retour à la maison
Hospitalisation de 24 heures en moyenne. Pansements refaits tous les 3 jours pendant 15 jours. Stéristrips retirés à 15 jours. Attelle pendant 4 à 6 semaines.
Consultation médecin rééducateur au 21e jour. Rééducation chez votre kinésithérapeute. La balnéothérapie est fortement conseillée dès que la cicatrisation est obtenue. Durée de rééducation : 2 à 3 mois. Suivi chirurgien au 21e jour puis tous les 45 jours avec contrôles radiographiques.
Fractures de la scapula (omoplate)
Les fractures de la scapula sont des fractures rares du membre supérieur. Elles sont le plus souvent liées à des traumatismes à haute énergie. En fonction de la localisation du trait de fracture et du nombre de fragments, elles n'ont pas toutes le même pronostic et nécessitent un traitement adapté.
Examens complémentaires
Radiographies en première intention, complétées si nécessaire par un scanner.
Le traitement orthopédique (non chirurgical)
Les fractures extra-articulaires, les fractures du corps de la scapula ainsi que les fractures articulaires peu déplacées sont le plus souvent traitées par une immobilisation avec une écharpe coude au corps pendant 4 à 6 semaines. L'attelle peut être retirée pour la toilette et la douche. Consolidation habituelle en 3 mois.
Le traitement chirurgical
Il consiste en une ostéosynthèse par vis et/ou plaque vissée, sous anesthésie générale avec anesthésie loco-régionale associée. Contrôle radiographique per-opératoire. Attelle coude au corps pendant 4 à 6 semaines. Rééducation à partir de la 4e semaine.
Risques
- Raideur résiduelle : rare
- Non-consolidation : faible, peut nécessiter une seconde intervention
- Infection : faible mais toujours présent
- Algodystrophie : 6 à 18 mois de raideur et douleurs
- Retrait de matériel : possible au bout d'un an
Suites opératoires et retour à la maison
Hospitalisation de 24 heures en moyenne. Pansements tous les 3 jours pendant 15 jours. Stéristrips retirés à 15 jours. Consultation médecin rééducateur au 21e jour. Rééducation chez kinésithérapeute, balnéothérapie conseillée. Durée de rééducation : 2 à 3 mois. Suivi chirurgien au 21e jour puis tous les 45 jours avec contrôles radiographiques.
Quelques précisions utiles avant votre intervention
Durant la toilette il est conseillé de ne pas mouiller le pansement, mais vous pouvez vous laver juste avant que l'infirmière ne refasse le pansement. Il faut impérativement éviter les pansements occlusifs (Tegaderm, etc.) qui favorisent la transpiration et la macération. Cela augmenterait le risque d'infection locale.
La reprise de la conduite se fait entre 2 et 3 mois en moyenne. Votre chirurgien et votre kinésithérapeute vous conseilleront. Ils vous diront quand vous serez capable de conduire sans danger.
La reprise du travail dépend du type de profession. Pour les travailleurs de force et manuels le délai est en moyenne de 4 à 6 mois. Pour les autres professions, le travail peut être repris plus tôt (entre 2 et 3 mois). Dans certains cas un changement de poste travail, une adaptation du poste ou une reconversion professionnelle seront à envisager. Il est souhaitable d'en parler avant l'intervention avec votre médecin traitant et les services de médecine du travail.
La reprise du sport dépend du type de sport : la natation est autorisée précocement (45 jours) et peut faire partie de votre auto-rééducation (nager la brasse). La course à pied est également autorisée avant 2 mois. Les sports à risque peuvent être repris progressivement à partir de 6 mois. Le médecin rééducateur, votre kinésithérapeute et votre chirurgien seront les plus à même de vous donner des conseils pour reprendre le sport en sécurité.
Questions fréquentes — Fractures de l'épaule
Réponses du Dr Yannick Roussanne, chirurgien orthopédiste spécialiste de l'épaule à la Polyclinique Saint-Roch de Montpellier.
Non. La majorité des fractures peu déplacées peuvent être traitées par immobilisation simple (attelle coude au corps ou anneaux claviculaires). L'indication chirurgicale dépend du type de fracture, du déplacement des fragments, de l'âge du patient et de sa demande fonctionnelle. Votre chirurgien vous proposera le traitement le plus adapté après analyse des radiographies et du scanner.
La consolidation osseuse nécessite en moyenne 6 à 12 semaines pour les fractures de l'humérus proximal et 3 mois pour les fractures de la clavicule. Ces délais varient en fonction du type de fracture, de l'âge, du tabagisme et de la qualité osseuse. Des radiographies de contrôle permettent de suivre l'évolution de la consolidation.
- Travail de bureau / sédentaire : 4 à 6 semaines
- Travail intermédiaire (conduite, port de charges légères) : 2 à 3 mois
- Travail physique ou manuel : 3 à 6 mois selon le type de fracture
La reprise de la conduite automobile est possible en moyenne à partir du 2e mois, selon le type de fracture et l'épaule atteinte.
La mise en place d'une prothèse est indiquée lorsque la fracture est non synthésable, c'est-à-dire lorsque les fragments osseux ne peuvent pas être remis en place et fixés de façon stable. C'est notamment le cas des fractures complexes à 4 fragments chez les patients âgés. Une prothèse inversée est le plus souvent choisie lorsque la coiffe des rotateurs est également lésée ou lorsque la qualité osseuse est médiocre. (Voir Prothèse d'épaule →)
Le retrait du matériel n'est pas systématique. Il peut être proposé après un an si le matériel est gênant ou douloureux, ou en cas de pratique sportive intense. Le retrait est une intervention simple mais comporte un risque de fracture itérative dans les semaines qui suivent. La décision est prise au cas par cas avec votre chirurgien.
- Sports sans sollicitation de l'épaule (marche, vélo d'appartement) : dès 6 semaines
- Natation (brasse) : 2 à 3 mois
- Sports de raquette, golf : 4 à 6 mois
- Sports de contact : 6 mois minimum, après consolidation radiologique confirmée
Pour les fractures de la clavicule, le risque de fracture itérative impose une prudence particulière pendant les 3 premiers mois.
Prenez rendez-vous avec le Dr Roussanne ou le Dr Geiss pour un bilan personnalisé.
Chicken-Ed 2012-2026 tous droits réservés



