orthodoc-montpellier

ORTHODOC MÉDITERRANÉE

ORTHODOC MÉDITERRANÉE
  • ACCUEIL
  • CONSULTATIONS
    • Centre ORTHODOC Montpellier
    • Préparer ma consultation
    • Les examens complémentaires
  • NOS SPÉCIALITÉS
    • L'ÉPAULE
    • COUDE / POIGNET / MAIN
      • Le COUDE
      • Le POIGNET
      • La MAIN
    • LA HANCHE
    • LE GENOU
    • CHEVILLE / AVANT-PIED -CMCP
  • LES CHIRURGIENS
    • Docteur Fabrice ALONSO
    • Docteur Baptiste BÉNAZECH
    • Docteur François COTTALORDA
    • Docteur Laurent GEISS
    • Docteur Pierre-Étienne MOREAU
    • Docteur Yannick ROUSSANNE
  • ESPACE PATIENT
    • La polyclinique SAINT-ROCH
    • Les démarches administratives
    • Préparer mon intervention
    • Le déroulement de l'hospitalisation
    • Le programme SHERPA
  • PRENDRE RDV

CHIRURGIE ORTHOPÉDIQUE et TRAUMATOLOGIQUE - MONTPELLIER

CHIRURGIE OSSEUSE ET ARTICULAIRE - CHIRURGIE PROTHÉTIQUE - CHIRURGIE ARTHROSCOPIQUE - CHIRURGIE DU SPORT

  • HOME
  • ANATOMIE
  • PATHOLOGIES
    • ARTHROSE DE LA HANCHE
    • ARTHROSCOPIE DE LA HANCHE
    • FRACTURES DE LA HANCHE
    • RESURFACAGE DE LA HANCHE
    • REPRISE DE PTH
    • VOIE ANTERIEURE MIS
    • PRP
  • SHERPA
  • MON INTERVENTION
    • PREPARER MON INTERVENTION
Dr Pierre-Étienne Moreau
Dr Pierre-Étienne MOREAU
Chirurgie de la Hanche
et du Genou
Prendre RDV
Dr Laurent Geiss
Dr Laurent GEISS
Chirurgie de la Hanche
et du Bassin
Prendre RDV
Accueil › La Hanche › Coxarthrose

La Coxarthrose — Arthrose de la hanche

Le Dr Pierre-Étienne Moreau et le Dr Laurent Geiss, chirurgiens orthopédistes spécialistes de la hanche à la Polyclinique Saint-Roch de Montpellier, vous présentent la coxarthrose : causes, symptômes, diagnostic et traitements de l'arthrose de la hanche.

La coxarthrose est l'usure progressive du cartilage recouvrant les deux surfaces de l'articulation de la hanche : la tête fémorale et le cotyle. Il n'existe aujourd'hui aucun moyen de réparer ou de greffer le cartilage usé. Lorsque les traitements médicaux ne suffisent plus, la prothèse totale de hanche est la seule solution pour retrouver une articulation fonctionnelle et indolore.


Quelles sont les causes de la coxarthrose ?

Dans la majorité des cas, la coxarthrose est dite « idiopathique », c'est-à-dire sans cause identifiée. C'est « l'usure du temps ». Cependant elle peut parfois être favorisée par :

  • Une anomalie de forme de l'articulation (dysplasie)
  • Une séquelle de luxation congénitale de hanche
  • Une maladie de l'enfance (ostéochondrite, épiphysiolyse)
  • Un traumatisme (fracture du cotyle)
  • Certaines activités professionnelles ou sportives entraînant des contraintes mécaniques excessives sur l'articulation
Schéma de la coxarthrose — usure du cartilage entre la tête fémorale et le cotyle
Schéma de la coxarthrose : usure du cartilage entre la tête fémorale et le cotyle

Quels sont les symptômes de la coxarthrose ?

Le cartilage joue un rôle d'amortisseur. Son usure entraîne un frottement anormal entre les os de la tête fémorale et du cotyle. En parallèle, des excroissances osseuses (les ostéophytes) se forment par réaction au pourtour de l'articulation. Trois symptômes principaux apparaissent :

  • La douleur : elle se situe principalement au pli de l'aine, parfois au niveau de la fesse ou sur le côté, et peut irradier vers la cuisse jusqu'au genou. Au début, elle ne survient qu'après une certaine distance de marche. À un stade évolué, elle devient permanente, même au repos, voire la nuit.
  • La raideur : difficulté à écarter la jambe ou à la tourner vers le dedans, puis progressivement impossibilité de mettre des chaussettes, faire ses lacets ou ses ongles de pied.
  • La boiterie : conséquence de la douleur, de la raideur et d'une fonte musculaire progressive. Lorsqu'elle est sévère, elle oblige au port d'une canne.
À retenir : la douleur de hanche siège souvent au pli de l'aine et peut irradier vers le genou. Une douleur du genou peut donc révéler une arthrose de la hanche. Un examen clinique spécialisé permet de faire la distinction.

Quels examens complémentaires réaliser ?

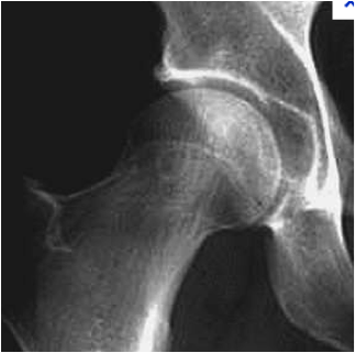
Dans la majorité des cas, une simple radiographie permet de faire le diagnostic de coxarthrose et d'en surveiller l'évolution. Votre chirurgien évaluera l'espace entre la tête fémorale et le cotyle : cet espace correspond à l'épaisseur du cartilage. Lorsque les os sont en contact (pincement articulaire), le cartilage est complètement usé.

Radiographie d'une hanche normale
Hanche normale
Radiographie d'une hanche atteinte de coxarthrose
Arthrose de hanche (coxarthrose)

Dans de rares cas, notamment en cas de doute avec une pathologie de la colonne vertébrale, d'autres examens peuvent être prescrits : arthroscanner, IRM ou scintigraphie.

Conseil : si votre médecin traitant vous oriente vers un chirurgien spécialiste de la hanche, il pourra vous prescrire les radiographies en amont de la consultation pour vous faire gagner du temps.

Quels sont les traitements de la coxarthrose ?

Le traitement médical

Au début de la maladie, les douleurs peuvent être soulagées par des médicaments antalgiques ou des anti-inflammatoires. Un médecin rhumatologue peut également effectuer des infiltrations de corticoïdes ou d'acide hyaluronique. Ces traitements permettent de contrôler les symptômes et de retarder la chirurgie.

Quand faut-il envisager la chirurgie ?

Plus la maladie évolue, moins le traitement médical est efficace. Lorsque les douleurs et la raideur deviennent handicapantes au quotidien malgré un traitement bien conduit, il faut prendre la décision de remplacer l'articulation usée par une prothèse. Il n'existe à ce jour aucun moyen efficace d'empêcher l'usure du cartilage, de le réparer ou de le greffer. La prothèse totale de hanche est la seule solution pour retrouver une articulation fonctionnelle et indolore.

La prothèse totale de hanche

À la Polyclinique Saint-Roch de Montpellier, nos chirurgiens pratiquent la voie antérieure mini-invasive — la seule technique qui préserve intégralement les muscles et les tendons. Combinée à la planification 3D peropératoire et au programme de récupération rapide SHERPA, cette approche permet une récupération optimale avec un retour à domicile en moyenne 4 jours après l'intervention.

En savoir plus : La voie antérieure mini-invasive →  |  Le programme SHERPA →  |  Reprise de prothèse →

Information à visée pédagogique conforme à la loi du 4 mars 2002 sur l'information loyale, claire et appropriée. Ne se substitue pas à une consultation médicale individualisée. En cas d'urgence, contactez le 15 (SAMU) ou le service des urgences de la Polyclinique Saint-Roch au 04 67 61 88 88.


Questions fréquentes — Coxarthrose

Réponses du Dr Pierre-Étienne Moreau et du Dr Laurent Geiss, chirurgiens orthopédistes spécialistes de la hanche à la Polyclinique Saint-Roch de Montpellier.

Une coxarthrose se reconnaît à trois signes typiques : une douleur au pli de l'aine qui augmente à la marche, une raideur progressive et une boiterie. La douleur peut surprendre par sa topographie — elle irradie souvent vers la cuisse jusqu'au genou, ce qui peut faire croire à tort à un problème de genou. La raideur se manifeste par des gestes du quotidien devenus difficiles : enfiler des chaussettes, entrer dans une voiture, faire ses lacets. À mesure que la maladie évolue, la douleur cesse d'être déclenchée par l'effort et devient permanente, voire nocturne. Une simple radiographie du bassin de face et un cliché de hanche de profil suffisent en général à poser le diagnostic et à mesurer la sévérité de l'usure cartilagineuse.

Oui, la prothèse de hanche peut souvent être retardée de plusieurs mois ou années dans les coxarthroses débutantes ou modérées, grâce à un traitement médical bien conduit. Le traitement conservateur repose sur plusieurs leviers complémentaires : antalgiques et anti-inflammatoires en cures courtes, infiltrations articulaires de corticoïdes ou d'acide hyaluronique, kinésithérapie ciblée sur les muscles stabilisateurs de la hanche (moyens fessiers en particulier), perte de poids le cas échéant, et activité physique adaptée — vélo, natation, marche, yoga. Ces mesures soulagent la douleur et maintiennent la mobilité, mais elles ne réparent pas le cartilage usé : elles repoussent l'échéance chirurgicale sans la supprimer. La chirurgie devient pertinente lorsque la qualité de vie est durablement altérée malgré le traitement médical.

Il n'y a ni âge minimum ni âge maximum pour la pose d'une prothèse de hanche : la décision dépend du handicap fonctionnel et de l'échec du traitement médical, pas de l'âge. Des patients de 45 ans comme de 90 ans peuvent bénéficier d'une prothèse, dès lors que la douleur et la perte de mobilité altèrent durablement leur quotidien. Chez le patient âgé, l'enjeu est de retrouver une autonomie de marche et de prévenir le déconditionnement. Chez le patient jeune et actif, deux options sont discutées : la prothèse totale par voie antérieure mini-invasive, qui offre une longévité de 20 à 30 ans, ou le resurfaçage de hanche, alternative conservatrice qui préserve le capital osseux fémoral et facilite une éventuelle reprise ultérieure.

Coxarthrose et arthrose de la hanche désignent exactement la même chose : l'usure progressive du cartilage de l'articulation coxo-fémorale, qui relie le bassin à la cuisse. Le mot « coxarthrose » est un terme médical formé de deux racines : « cox- », du latin coxa qui désigne la hanche, et « -arthrose », qui signifie usure du cartilage articulaire. Vous entendrez donc parfois votre médecin parler de coxarthrose, parfois d'arthrose de la hanche — c'est strictement équivalent. Selon le même principe, l'arthrose du genou est appelée gonarthrose et celle de l'épaule omarthrose. Cette nomenclature médicale précise est utile pour les comptes-rendus opératoires, les ordonnances et les correspondances entre professionnels de santé.

Il existe une prédisposition familiale dans certaines formes de coxarthrose, en particulier celles liées à des anomalies de forme de la hanche transmises génétiquement, comme la dysplasie ou les séquelles de luxation congénitale. Ces anomalies anatomiques, souvent silencieuses pendant la jeunesse, créent des contraintes mécaniques anormales sur le cartilage et accélèrent son usure à l'âge adulte. Si un de vos parents a été opéré d'une prothèse de hanche, ou si plusieurs membres de la famille ont eu des douleurs de hanche précoces, il peut être utile de consulter un chirurgien spécialiste pour un dépistage radiographique. Cela est particulièrement vrai si vous présentez des douleurs au pli de l'aine, même modérées, avant 50 ans. Un diagnostic précoce permet d'envisager des traitements préventifs ou conservateurs avant l'apparition d'une arthrose évoluée.

L'activité physique est non seulement permise mais recommandée en cas de coxarthrose, à condition de choisir des sports à faible impact qui préservent l'articulation tout en entretenant la musculature. Les activités à privilégier sont la natation (en particulier le crawl ou la nage avec planche), le vélo de route et le vélo d'appartement, la marche sur terrain plat, l'aquagym, le yoga et le Pilates. Ces sports entretiennent la mobilité de la hanche et renforcent les muscles stabilisateurs — moyens fessiers, abducteurs, ceinture abdominale — qui soulagent l'articulation. À l'inverse, évitez les sports à impacts répétés : course à pied, sports de saut, tennis, sports collectifs avec contacts. Une activité physique régulière a un effet protecteur sur le cartilage et améliore la tolérance à la maladie.


Vous souffrez de douleurs de hanche ou suspectez une coxarthrose ?

Prenez rendez-vous avec le Dr Moreau ou le Dr Geiss pour un bilan personnalisé à la Polyclinique Saint-Roch de Montpellier.

Prendre RDV — Dr Moreau Prendre RDV — Dr Geiss
Dr Pierre-Étienne Moreau & Dr Laurent Geiss — Chirurgiens orthopédistes spécialistes de la hanche
Polyclinique Saint-Roch — 550 avenue du Colonel André Pavelet, 34070 Montpellier
Tél. : 04 67 41 65 00

Chicken-Ed 2012-2026 tous droits réservés

Mentions légales

Politique de confidentailité

Politique des cookies

Nous utilisons des cookies. Certains sont nécessaires, d'autres nous aident à améliorer votre expérience. En savoir plus

Mes préférences cookies

Choisissez les services que vous autorisez.

Cookies essentiels Nécessaires au fonctionnement du site.
Google Analytics Mesure d'audience anonyme.
YouTube Vidéos chirurgicales intégrées.